The True Cost of Underestimating Proper Periodontal Care with a Quick/Improper Cleaning

The True Cost of Underestimating Proper Periodontal Care with a Quick/Improper Cleaning
When it comes to dental care, it’s easy to be tempted by low-cost, quick cleanings that promise a shiny smile for a fraction of the price. However, what many don’t realize is that these fast-track services can often miss the mark, especially when it comes to the health of your gums. Let’s take a closer look at why proper periodontal care is essential and the hidden costs of underestimating what your gums truly need.
1. What Is Proper Periodontal Care?
Periodontal care isn’t just about keeping your teeth clean—it’s about maintaining the health of your gums and the structures that support your teeth. At Fort York Dentist, our periodontal care includes a comprehensive gum assessment and tailored treatments like laser therapy, Arrestin (an antibiotic gel), and deep irrigation to ensure your gums are healthy, bacteria-free, and capable of supporting your teeth for years to come.
2. Why a Quick Cleaning Isn’t Enough
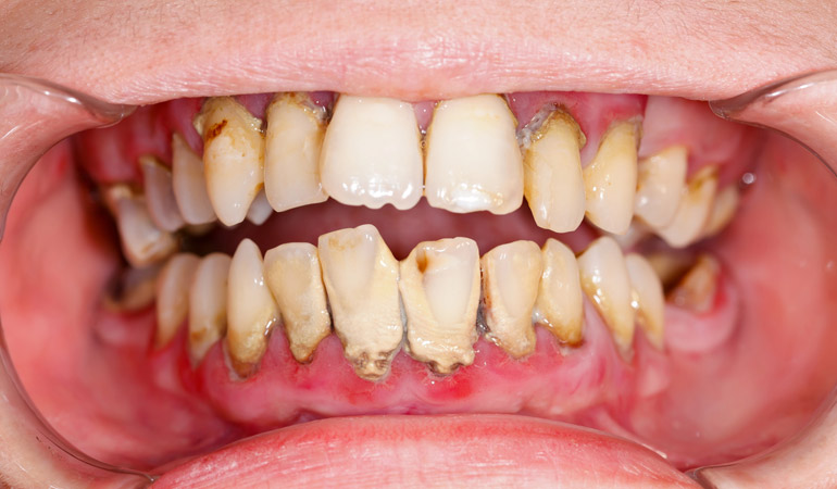
A quick cleaning that offers just two units of scaling may seem convenient, but it’s rarely sufficient for addressing deeper gum issues. This type of cleaning typically focuses on superficial plaque and tartar but doesn’t address the underlying gum health, which can lead to:
- Missed Diagnosis: Superficial cleanings often skip a thorough periodontal assessment, which means early signs of gum disease can go unnoticed until they become serious.
- Inadequate Scaling: Two units of scaling only cover minimal areas, leaving harmful bacteria in deeper pockets that can cause ongoing inflammation, bone loss, and even tooth loss if not treated.
- Surface-Level Results: While your teeth may feel cleaner, the deeper issues, such as tartar below the gum line, persistent inflammation, or early-stage periodontal disease, are often ignored, putting your oral health at risk.
3. The Hidden Costs of Minimal Care
While saving money upfront might seem like a win, the long-term consequences of inadequate periodontal care can be costly, both financially and in terms of your overall health:
- Progression of Gum Disease: Without proper treatment, gum disease can progress silently, leading to more advanced stages that require extensive intervention, including surgery, tooth extractions, and more.
- Increased Risk of Systemic Health Issues: Gum disease is linked to several systemic conditions, including heart disease, diabetes, and respiratory issues. Ignoring gum health can have far-reaching effects on your overall well-being.
- Higher Long-Term Costs: The cost of treating advanced gum disease far exceeds the initial savings from a quick clean. More complex treatments, surgeries, and tooth replacements add up quickly.
4. The Fort York Dentist Difference: Comprehensive Care Tailored to You
At Fort York Dentist, we believe in going beyond the basics to offer our patients the care they truly need. Our approach to periodontal care includes:
- Detailed Gum Assessments: We take the time to evaluate your gum health thoroughly, identifying any early signs of disease that might be missed by a basic cleaning.
- Advanced Treatments: From laser therapy that targets bacteria to Arrestin antibiotic treatments and deep irrigation that cleanses below the gum line, our goal is to provide lasting health benefits, not just temporary results.
- Personalized Care Plans: Every mouth is different. We tailor our cleanings and treatments based on your individual needs, ensuring that you receive the most effective care possible.
5. Invest in Your Health, Not Just Your Smile
Proper periodontal care is an investment in your long-term health. By choosing comprehensive care over quick fixes, you’re not just improving the appearance of your smile—you’re protecting your overall well-being.
At Fort York Dentist, we’re committed to providing the highest standard of care, helping you achieve optimal oral health through personalized, thorough, and advanced periodontal treatments. Don’t underestimate the power of a proper dental cleaning; your gums and your future self will thank you.
Book Your Comprehensive Gum Assessment Today
If you’ve been opting for quick cleanings, now is the time to reassess your approach to dental care. Schedule a visit with Fort York Dentist and experience the difference that dedicated periodontal care can make for your smile and your health.


